Реальные истории лечения пациентов

Каждый пациент - уникален, и каждый случай требует индивидуального подхода. Эти примеры показывают, как мы справляемся с задачами любой сложности.

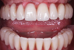
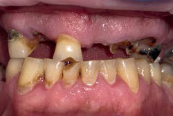
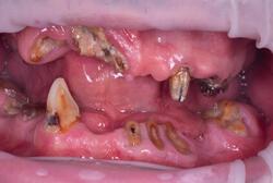
Полное восстановление зубов при периодонтите

#ALL-ON-6 #Протезирование на имплантах

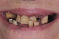
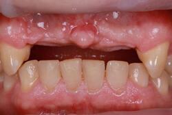
Имплантация All-on-4 после съёмных протезов

#ALL-ON-4 #Имплантация #Протезирование на имплантах

Протезирование на имплантах ALL-ON-6

#ALL-ON-6 #Протезирование на имплантах

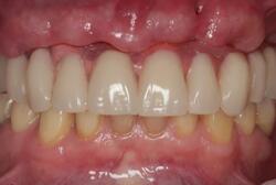
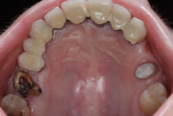
Протезирование на своих зубах и на имплантах

#Имплантация #Протезирование зубов #Протезирование на имплантах

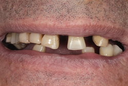
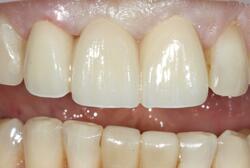
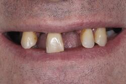
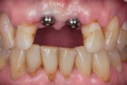
Протезирование фронтальных зубов на имплантах

#Имплантация #Протезирование зубов #Протезирование на имплантах

ALL-ON-6 - восстановление всей улыбки

#ALL-ON-6 #Протезирование на имплантах

Имплантация по системе All-on-6 (верхняя челюсть)

#ALL-ON-6 #Протезирование на имплантах

Классическая имплантация 4 имплантов Megagen

#Имплантация #Протезирование на имплантах

Имплантация по системе All-on-4 имплантами Straumann

#ALL-ON-4 #Протезирование на имплантах

Имплантация ALL-ON-6 (первый этап)

#ALL-ON-6 #Протезирование на имплантах

Имплантация ALL-ON-6 на верхней и нижней челюсти

#ALL-ON-6 #Протезирование на имплантах

ALL-ON-4 на верхней и нижней челюсти

#ALL-ON-4 #Протезирование на имплантах

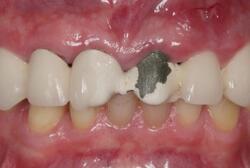
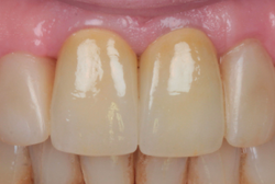
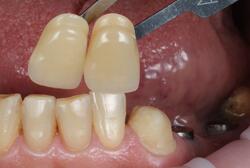
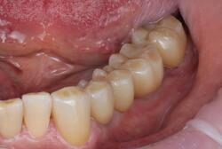
Циркониевые коронки в области жевательных зубов

#Имплантация #Протезирование на имплантах

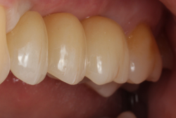
Циркониевые коронки на имплантаты

#Имплантация #Протезирование на имплантах

Замена старого мостовидного протеза на ALL-ON-6

#ALL-ON-6 #Протезирование на имплантах

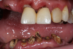
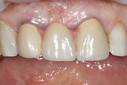
Восстановление центральных резцов циркониевыми коронками

#Имплантация #Протезирование на имплантах

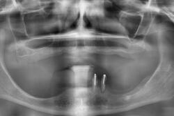
Имплантация ALL-ON-6 на нижней челюсти

#ALL-ON-6 #Протезирование на имплантах

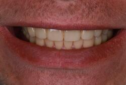
Восстановление улыбки за короткие сроки

#ALL-ON-6 #Протезирование на имплантах

ALL-ON-4 с металлокерамическим протезом

#ALL-ON-4 #Протезирование на имплантах

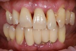
Восстановление эстетики улыбки

#Имплантация #Протезирование зубов #Протезирование на имплантах

All-ON-6 - от временного до постоянного протеза

#ALL-ON-6 #Протезирование на имплантах

Запишитесь на консультацию и диагностику зубов
Запишитесь на консультацию и диагностику зубов

Врач проведет осмотр состояния полости рта и анализ 3D-снимка (КЛКТ)

Составит понятный план лечения со всеми этапами, сроками и стоимостью - выдаст вам на руки

Ответит на все интересующие вопросы, касательно вашего лечения

Длительность консультации перед имплантацией - 1 час

Ознакомившись с размещенными на сайте Информацией до получения согласия и текстом Согласия, Я ДАЮ СОГЛАСИЕ НА ОБРАБОТКУ МОИХ ПЕРСОНАЛЬНЫХ ДАННЫХ в соответствии с указанными в них целями и перечнем персональных данных

Мы свяжемся с вами, чтобы подобрать удобную дату и время для записи на консультацию

Узнайте о лечении словами наших пациентов
Больше отзывов

Подберем индивидуальный план лечения, который зависит от состояния полости рта