Тотальная имплантация ALL-ON-4 / ALL-ON-6

All-ON-6 - от временного до постоянного протеза

Срок лечения: 7 месяцев

#ALL-ON-6;Протезирование на имплантах

С чем обратился пациент:

Зубы разрушались годами - незаметно, без острой боли. Глубокий кариес, периодонтальные карманы, давно утерянные зубы в жевательных отделах. Пациентка привыкла к дискомфорту и перестала улыбаться открыто. За два дня всё изменилось.

Ход лечения:

День первый — имплантация верхней челюсти. День второй - нижней челюсти. На седьмой день установлены временные протезы: пациентка вышла из клиники с функциональными зубами и с улыбкой, которая уже радует

Результат лечения:

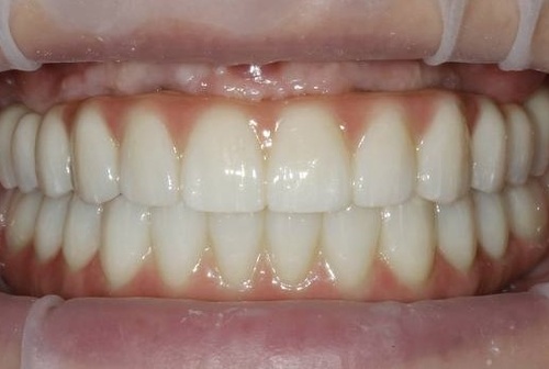
Шесть месяцев спустя импланты полностью остеоинтегрировались. Были сняты оттиски, согласованы форма и оттенок зубов. Финал - циркониевые протезы цвета A1: точно подобранные под пожелания пациентки и клинические показания. Также сделали индивидуальные каппы для защиты конструкции на период адаптации. Результат, которого ждали годы - достигнут за полгода.

С пациентом работала команда:

Запишитесь на первичную консультацию-диагностику ваших зубов
Запишитесь на первичную консультацию-диагностику ваших зубов

Врач произведет осмотр состояния полости рта и обследует его с помощью 3D-снимка (КЛКТ)

Определит продолжительность и предложит несколько вариантов лечения, по комфортной для вас стоимости (исходя из прайс-листа центра)

Составит фотопротокол и пояснение ситуации по каждому зубу

Ответит на вопросы, связанные со здоровьем ваших зубов

Ознакомившись с размещенными на сайте Информацией до получения согласия и текстом Согласия, Я ДАЮ СОГЛАСИЕ НА ОБРАБОТКУ МОИХ ПЕРСОНАЛЬНЫХ ДАННЫХ в соответствии с указанными в них целями и перечнем персональных данных

Мы свяжемся с вами, чтобы подобрать удобную дату и время для записи на консультацию и диагностику

Наши работы:

Узнайте о лечении словами наших пациентов
Больше отзывов