Тотальная имплантация ALL-ON-4 / ALL-ON-6

Тотальная имплантация верхней челюсти с установкой птеригоидных имплантов

Срок лечения: 6 дней

#ALL-ON-6;Протезирование на имплантах

С чем обратился пациент:

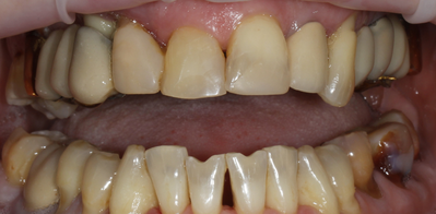
Пациентка обратилась с жалобами на жевание и внешний вид зубов. На первый взгляд зубов было достаточно много. Но после диагностики стало понятно, что часть из них находилась под старым мостовидным протезом и была сильно разрушена. Эти зубы уже нельзя было восстановить - они подлежали удалению. Оставшиеся зубы также имели плохой прогноз: воспаления, подвижность, большие разрушения. Сохранять их не имело смысла, так как это не дало бы долгосрочного результата.

Ход лечения:

Мы провели тотальную имплантацию верхней челюсти с применением птеригоидных имплантов. Эта методика позволяет надежно зафиксировать импланты в плотных отделах крыловидной кости, обходя зоны выраженной атрофии и избегая объемных костнопластических операций. Были удалены несостоятельные зубы и старые ортопедические конструкции, после чего установлены импланты по протоколу тотальной реабилитации, включая птеригоидные импланты в дистальных отделах.

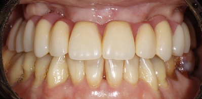
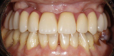
Результат лечения:

В результате мы восстановили надёжную опору для несъёмного протеза - конструкция стабильно фиксируется даже при выраженном дефиците костной ткани. Пациентка снова может полноценно жевать и улыбаться без стеснения, при этом удалось обойтись без длительной костной пластики и синус-лифтинга. Через полгода мы планируем заменить временный протез на постоянный.

С пациентом работала команда:

Запишитесь на первичную консультацию-диагностику ваших зубов
Запишитесь на первичную консультацию-диагностику ваших зубов

Врач произведет осмотр состояния полости рта и обследует его с помощью 3D-снимка (КЛКТ)

Определит продолжительность и предложит несколько вариантов лечения, по комфортной для вас стоимости (исходя из прайс-листа центра)

Составит фотопротокол и пояснение ситуации по каждому зубу

Ответит на вопросы, связанные со здоровьем ваших зубов

Ознакомившись с размещенными на сайте Информацией до получения согласия и текстом Согласия, Я ДАЮ СОГЛАСИЕ НА ОБРАБОТКУ МОИХ ПЕРСОНАЛЬНЫХ ДАННЫХ в соответствии с указанными в них целями и перечнем персональных данных

Мы свяжемся с вами, чтобы подобрать удобную дату и время для записи на консультацию и диагностику

Наши работы:

Узнайте о лечении словами наших пациентов
Больше отзывов