Тотальная имплантация ALL-ON-4 / ALL-ON-6

Восстановление улыбки за короткие сроки

Срок лечения: 7 дней

#ALL-ON-6;Протезирование на имплантах

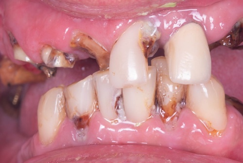
С чем обратился пациент:

Пациент обратился с одним запросом: «Хочу вернуть улыбку как можно скорее». Ранее у него был установлен мост, который какое-то время выполнял свою функцию. Но со временем под коронками развился кариес, корни зубов оголились, и сохранить их уже не удалось. К тому же остальные зубы тоже были сильно повреждены, и ситуация требовала комплексного решения.

Ход лечения:

Для быстрого и надёжного восстановления полного зубного ряда была проведена имплантация по протоколу All-on-6 с использованием хирургического шаблона. Операции выполнялись всего за два дня: – Первый день – нижняя челюсть – Второй день – верхняя челюсть Уже на 6-й день после операции пациент получил временные протезы, что позволило вернуть полноценную функцию жевания и красивую улыбку без длительного ожидания.

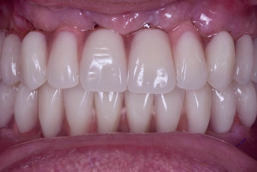
Результат лечения:

Через шесть месяцев пациент вернётся на контрольный осмотр и подготовку к установке постоянного протеза. Постоянный протез обеспечивает точную посадку, высокую эстетику и надёжность. Форма и цвет зубов подбираются индивидуально, с учётом пожеланий пациента, чтобы результат полностью соответствовал его ожиданиям.

С пациентом работала команда:

Запишитесь на первичную консультацию-диагностику ваших зубов
Запишитесь на первичную консультацию-диагностику ваших зубов

Врач произведет осмотр состояния полости рта и обследует его с помощью 3D-снимка (КЛКТ)

Определит продолжительность и предложит несколько вариантов лечения, по комфортной для вас стоимости (исходя из прайс-листа центра)

Составит фотопротокол и пояснение ситуации по каждому зубу

Ответит на вопросы, связанные со здоровьем ваших зубов

Ознакомившись с размещенными на сайте Информацией до получения согласия и текстом Согласия, Я ДАЮ СОГЛАСИЕ НА ОБРАБОТКУ МОИХ ПЕРСОНАЛЬНЫХ ДАННЫХ в соответствии с указанными в них целями и перечнем персональных данных

Мы свяжемся с вами, чтобы подобрать удобную дату и время для записи на консультацию и диагностику

Наши работы:

Узнайте о лечении словами наших пациентов
Больше отзывов