Тотальная имплантация ALL-ON-4 / ALL-ON-6

Восстановление эстетики улыбки

Срок лечения:

#ALL-ON-6

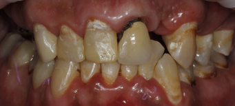
С чем обратился пациент:

Пациент обратился с запросом на полное восстановление зубного ряда, предполагая, что единственным возможным решением станет тотальная имплантация. Однако после комплексной диагностики мы увидели, что на верхней челюсти не все зубы подлежат удалению - часть из них можно сохранить и использовать как опору для будущей ортопедической конструкции. Это позволило выстроить более щадящий и рациональный план лечения.

Ход лечения:

К моменту обращения большинство зубов были сильно разрушены глубоким кариесом, возникли проблемы с жеванием. Мы удалили несохранившиеся зубы и установили три имплантата. После хирургического этапа провели терапевтическую подготовку: восстановили и укрепили опорные зубы стекловолоконными штифтами. Далее сделали компьютерное моделирование улыбки, подобрали форму и высоту прикуса, установили временные коронки для оценки эстетики и функции. В финале поставили постоянные конструкции: мостовидный протез на свои зубы и коронки на имплантаты. Всего установлено 14 циркониевых коронок.

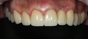
Результат лечения:

Верхняя челюсть восстановлена полностью. Пациент вернул возможность нормально жевать, говорить и улыбаться без боли и без стеснения. Это не финал истории, а её важная середина. Нижняя челюсть - следующий этап, к которому пациент подойдёт тогда, когда будет готов. И это правильный подход: комплексная реабилитация не обязана происходить за один раз. Иногда важнее сделать первый шаг и убедиться, что лечение работает, что результат именно такой, каким должен быть.

С пациентом работала команда:

Запишитесь на первичную консультацию-диагностику ваших зубов
Запишитесь на первичную консультацию-диагностику ваших зубов

Врач произведет осмотр состояния полости рта и обследует его с помощью 3D-снимка (КЛКТ)

Определит продолжительность и предложит несколько вариантов лечения, по комфортной для вас стоимости (исходя из прайс-листа центра)

Составит фотопротокол и пояснение ситуации по каждому зубу

Ответит на вопросы, связанные со здоровьем ваших зубов

Ознакомившись с размещенными на сайте Информацией до получения согласия и текстом Согласия, Я ДАЮ СОГЛАСИЕ НА ОБРАБОТКУ МОИХ ПЕРСОНАЛЬНЫХ ДАННЫХ в соответствии с указанными в них целями и перечнем персональных данных

Мы свяжемся с вами, чтобы подобрать удобную дату и время для записи на консультацию и диагностику

Наши работы:

Узнайте о лечении словами наших пациентов
Больше отзывов