Тотальная имплантация ALL-ON-4 / ALL-ON-6

ALL-ON-4 с металлокерамическим протезом

Срок лечения: 6 месяцев

#ALL-ON-4;Протезирование на имплантах

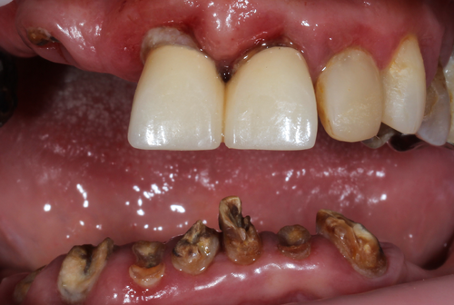
С чем обратился пациент:

Пациентка обратилась с простой и понятной просьбой: «Хочу снова улыбаться и не стесняться». Долгое время страх перед лечением зубов мешал ей обратиться к стоматологу, и за это время ситуация только усугубилась. В местах отсутствующих зубов объём костной ткани критически снизился, а старые коронки ломались и под ними развивался кариес, что приводило к постепенному разрушению зубов.

Ход лечения:

Мы удалили оставшиеся зубы и сразу провели имплантацию на обеих челюстях по протоколу All-on-4. Из-за длительного отсутствия зубов объём костной ткани в жевательных зонах был недостаточен, поэтому оптимальным решением стало размещение четырёх имплантов на каждой челюсти. Уже на 8-й день после операции пациентке были установлены временные адаптационные протезы, что позволило быстро восстановить комфорт, эстетику и привычный внешний вид улыбки.

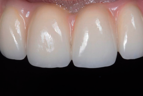
Результат лечения:

Спустя 6 месяцев пациентка вернулась на контрольный осмотр и этап перепротезирования на постоянный протез. За это время импланты успешно остеоинтегрировались с костной тканью. В данном случае был выбран металлокерамический протез — он немного уступает цирконию по эстетике, но остаётся надёжным и доступным вариантом. В результате пациентка довольна своей новой улыбкой. Форма и цвет зубов подбирались индивидуально с учётом её пожеланий и особенностей внешности.

С пациентом работала команда:

Запишитесь на первичную консультацию-диагностику ваших зубов
Запишитесь на первичную консультацию-диагностику ваших зубов

Врач произведет осмотр состояния полости рта и обследует его с помощью 3D-снимка (КЛКТ)

Определит продолжительность и предложит несколько вариантов лечения, по комфортной для вас стоимости (исходя из прайс-листа центра)

Составит фотопротокол и пояснение ситуации по каждому зубу

Ответит на вопросы, связанные со здоровьем ваших зубов

Ознакомившись с размещенными на сайте Информацией до получения согласия и текстом Согласия, Я ДАЮ СОГЛАСИЕ НА ОБРАБОТКУ МОИХ ПЕРСОНАЛЬНЫХ ДАННЫХ в соответствии с указанными в них целями и перечнем персональных данных

Мы свяжемся с вами, чтобы подобрать удобную дату и время для записи на консультацию и диагностику

Наши работы:

Узнайте о лечении словами наших пациентов
Больше отзывов