
К методу тотальной имплантации зубов All-on-4 прибегают, при полной адентии верхней челюсти. Этот способ позволяет сэкономить как значительную сумму, так и время. Полный челюстной протез крепится на четыре имплантата максимум через пять дней. Компьютерное моделирование и использование хирургических шаблонов гарантируют максимальную безопасность процесса. В Центре Стоматологической Имплантации эта уникальная система протезирования практикуется уже более 15 лет.
Протокол All-On-4 отличается от классической двухэтапной имплантации быстрым эстетическим результатом. Применяется при легкой и умеренной атрофии костной ткани. Если у пациента достаточно костной ткани в местах имплантации, сразу или в последующие дни, абатменты загружаются временным протезом. Во втором случае пациенту проводится дополнительная операция по увеличению её объема. Когда импланты окончательно приживутся временный акриловый протез меняют на постоянный.
Согласно протоколу «все на четырех», два импланта устанавливаются в области 12/22-13/23 зубов, два других фиксируются под углом около 45° в области пятого-шестого моляров. Если высота и ширина кости в этих местах меньше необходимой, стоматолог перемещает их немного вперед. Такое расположение позволяет добиться необходимой стабилизации и предотвращает смещение протеза во время жевания.
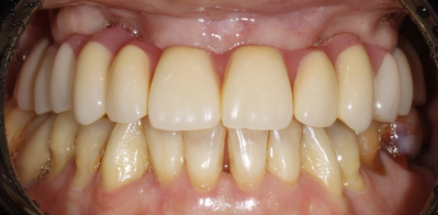
Состояние пациентки до начала операции по поднятию прикуса по методике несъемного протезирования all-on-4


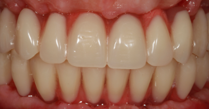
Результат поднятия прикуса по методике несъемного протезирования all-on-4
Современные стоматологические технологии позволяют использовать титановые или композитные имплантаты даже в сложных условиях. Методика состоит из 4 этапов:
Для скорейшей нормализации кровообращения в деснах и скорейшего заживления структур, необходимо нагрузить челюсть в срок не превышающий пяти дней. Сразу после этого можно уверенно жевать, исключая только твердую пищу. В первые сутки после имплантации в операционном поле ощущается небольшой дискомфорт, возможен временный отек.
Главное преимущество - это возможность протезирования на меньшем количестве имплантов, что уменьшает общую стоимость операции. Кроме того, технология позволяет:
Эффект от имплантации All-on-4 - новые зубы и подтянутая нижняя треть лица без опущенных углов рта и складок в носогубном треугольнике.
Метод имеет аналог среди всех серьёзных производителей. Изначально изобретённый компанией Nobel Biocare, cегодня представлен более чем двумя десятками аналогов разной стоимости от премиума до эконом. По статистике, чаще всего мы проводим имплантацию на системах Straumann и Osstem
Мы работаем со следующими производителями:

Сколько дней занимает вся процедура с установкой имплантатов и протеза. Могу ли я спланировать имплантацию, если я живу в другой стране?
Вся процедура занимает от 7 до 10 дней. Чтобы спланировать план лечения и согласовать даты поступления, сначала сделайте и отправьте нам Ваш снимок КЛКТ.
Как часто после установки штифтов нужно посещать врача, и когда снимаются швы. Могу ли я поехать в стоматологическую клинику по месту жительства для контроля?
Как правило швы снимают на седьмой день. Пациент конечно же может обратиться к своему врачу по месту жительства. Как для снятия швов, так и для дальнейшего наблюдения процесса приживления.
Влияют ли протезы на артикуляцию и произношение сложных звуков?
Правильно изготовленные протезы в лучшую сторону влияют на произношение. На первых порах возможен период адаптации - привыкание к произношению. Длится не более нескольких дней после установки новых протезов.
Сколько дней после операции нельзя есть твердую пищу?
В течение двух недель после операции рекомендуется соблюдать «мягкую» диету.
Стоимость услуги Тотальная имплантация ALL-ON-4 / ALL-ON-6 можно рассчитать исключительно на консультации с врачом. Существует множество вариантов и только после визуального осмотра и изучения результатов диагностических исследований Вам смогут предложить подходящие способы лечения, среди которых вы выберете наиболее удобный.
Чтобы получить предварительный план лечения, свяжитесь с нами через форму записи на сайте или по телефону +375(44)545-09-10
| Название услуги | Цена, BYN |
|---|---|
| Снимок КЛКТ (3D) с записью на диск | 30 |
| Консультация стоматолога-хирурга с анализом КЛКТ | 50 |
| Совместная консультация ортопеда и хирурга | 50 / |
| Совместная консультация ортопеда (кандидата медицинских наук) и хирурга | 100 |
| Комплексная имплантация ALL-On-4 MegaGen AO (хирургическая и ортопедическая часть) | 12 237 |
| Комплексная имплантация ALL-ON-4 MegaGen AR (хирургическая и ортопедическая часть ) | 13 222 |
| Комплексная имплантации ALL-ON-4 MegaGen BlueDiamonds | 14 605 |
| Комплексная имплантация ALL-ON-6 MegaGen AO (хирургическая и ортопедическая часть) | 14 250 |
| Комплексная имплантация ALL-ON-6 MegaGen AR (хирургическая и ортопедическая часть) | 14 850 |
| Комплексная имплантации ALL-ON-6 MegaGen BlueDiamonds | 16 655 |
| Комплексная имплантация ALL-ON-4 Straumann SLA Active 1 челюсть (хирургическая и ортопедическая часть) | 17 295 |
| Комплексная имплантация ALL-ON-6 Straumann SLA Active на 1 челюсть (хирургическая и ортопедическая часть) | 22 657 |
| Металлокерамический протез с фиксацией на 4-х имплантах MeGagen (одна челюсть) | от 5 550 |
| Металлокерамический протез с фиксацией на 6-и имплантах Megagen | 7 300 |
| Металлокерамический протез с фиксацией на 6-и имплантах Straumann | 12 260 |
| Циркониевый протез с фиксацией на 4-и имплантах MegaGen | 9 800 |
| Циркониевый протез с фиксацией на 6-и имплантах Megagen | 13 600 |
| Циркониевый протез с фиксацией на 4-и имплантах Straumann | 12 200 |
| Циркониевый протез с фиксацией на 6-и имплантах Straumann | 18 900 |
| Увеличение альвеолярной кости челюсти с использованием одного аутокостного трансплантата | 685 - 1200 |
| Синус-лифтинг | 1 960 |
| Хирургический шаблон | 830 |
Врач произведет осмотр состояния полости рта и обследует его с помощью 3D-снимка (КЛКТ)
Определит продолжительность и предложит несколько вариантов лечения, по комфортной для вас стоимости (исходя из прайс-листа центра)
Составит фотопротокол и пояснение ситуации по каждому зубу
Ответит на вопросы, связанные со здоровьем ваших зубов
Ознакомившись с размещенными на сайте Информацией до получения согласия и текстом Согласия, Я ДАЮ СОГЛАСИЕ НА ОБРАБОТКУ МОИХ ПЕРСОНАЛЬНЫХ ДАННЫХ в соответствии с указанными в них целями и перечнем персональных данных
Мы свяжемся с вами, чтобы подобрать удобную дату и время для записи на консультацию и диагностику