Имплантация передних зубов - это комплексная терапевтически-хирургическая задача, где важно совместить функциональность и эстетику. Пациент приходит за возвращением улыбки, а врач решает задачу, где каждая деталь - от выбора имплантационной системы до формы коронки - влияет на конечный результат. В статье описаны ключевые принципы, показания, методы установки и этапы лечения, чтобы вы понимали, как ставят имплант на передний зуб и чего ожидать на каждом этапе.
Передние зубы находятся в зоне улыбки, и их внешний вид определяет восприятие лица. Потеря одного переднего зуба меняет гармонию улыбки, может «проваливать» губной контур и создавать асимметрию. Поэтому имплантация переднего верхнего зуба или нижнего требует не только хирургической точности, но и планирования эстетики - формы коронки, оттенка и перехода десневого контура.
Передние зубы участвуют в артикуляции многих звуков и в откусывании пищи. При отсутствии передних зубов пациенты часто замечают изменение дикции и дискомфорт при приеме пищи. Импланты передних верхних и нижних зубов восстанавливают нормальную функцию, позволяя говорить чётко и есть комфортно.
Имплантация в зоне улыбки - это ювелирная работа: позиция имплантата, угол входа, глубина установки и сохранение межзубных сосочков влияют на конечный вид. Планирование по КЛКТ и цифровое моделирование помогают точно понять, как вживляется имплант и где его лучше располагать, чтобы коронка стояла естественно. Часто в таких операциях мы используем хирургический шаблон, чтобы исход был максимально предсказуемым.
Для передних зубов часто применяют циркониевые абатменты, чтобы избежать серого просвечивания под тонкой десной. Материалы коронок - полностью керамические или из диоксида циркония - обеспечивают естественную прозрачность и прочность. При выборе имплантата важны форма, поверхность и совместимость с костной тканью.
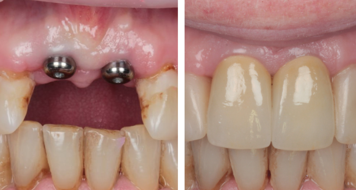
.png)
При потере зуба вследствие травмы, кариеса, эндодонтических осложнений, врожденной адентии (отсутствия зубов) или неудовлетворительном результате предыдущего протезирования. При наличии достаточного объёма кости или возможности костной пластики установка импланта передних зубов - оптимальный способ восстановления.
Имплантация не проводится при активном воспалении, тяжелых системных заболеваниях без контроля, у пациентов с неконтролируемым диабетом, при выраженном курении без мотивации к отказу, а также при невозможности обеспечить гигиену. В таких случаях рассматривают мостовидные или съемные протезы до стабилизации состояния.
Кость верхней челюсти чаще менее плотная, чем нижней, и иногда требуется наращивание кости или синус-лифтинг при работе в боковых отделах; в переднем сегменте важно сохранить высоту альвеолярного гребня и форму межзубных сосочков. Это влияет на то, как имплантируют зубы в передней зоне: планирование и выбор тактики критичны для эстетики десны.
Нижняя челюсть обычно имеет более плотную кость, что способствует более надежной первичной стабилизации импланта. Однако близость нижнечелюстного нерва и индивидуальные анатомические особенности требуют точной диагностики и осторожности при выборе позиции и длины имплантата.
Количество отсутствующих зубов и их расположение определяют наиболее подходящую стратегию восстановления. После совместной консультации стоматолога-ортопеда и хирурга вы получите индивидуальный план лечения, учитывающий все особенности вашего случая.
При отсутствии одного зуба оптимальным считается установка одного импланта и изготовление отдельной коронки на абатменте. Важна сохранность соседних зубов и десневого контура. В ряде случаев возможна немедленная нагрузка временной коронкой, если достигнута достаточная первичная стабильность.
Если отсутствует несколько зубов подряд, применяют сочетание имплантов и мостовидных конструкций на опорах, либо устанавливают серию одиночных имплантов. Решение зависит от объёма кости, прикуса и эстетических требований пациента.
Выбор метода установки импланта зависит от состояния костной ткани и особенностей клинического случая. Каждый способ имеет свои показания, сроки лечения и последовательность этапов восстановления.
Сначала устанавливают имплантат и закрывают его мягкими тканями. Через период остеоинтеграции (обычно 3–4 месяца) проводят второй этап - установка формирователя десневой манжеты (ФДМ) и последующее протезирование. Этот метод особенно показан при необходимости костной пластики.
Имплант устанавливают и сразу фиксируют временную коронку. Подходит при достаточной первичной стабильности и хорошем качестве кости. Пациент получает эстетический результат с первого визита, однако требования к планированию и технике выше.
Если зуб удален атравматично и отсутствует инфекция, возможна одномоментная установка импланта в лунку. Это сокращает общее время лечения и помогает сохранить контур мягких тканей, однако требует тщательной оценки и опыта имплантолога.
Имплантация не всегда возможна - есть случаи, когда приходится выбирать альтернативные методы восстановления. Они отличаются по сроку службы, уровню комфорта и степени вмешательства. Выбор зависит от состояния соседних зубов, объема костной ткани и общего здоровья пациента.
Мосты фиксируются на соседние зубы и быстро решают косметическую проблему, но требуют обточки здоровых опорных зубов и не предотвращают резорбцию костной ткани в области отсутствующего корня.
Съемные пластиночные протезы применяются при отсутствии возможности имплантации, они менее удобны и эстетичны, могут вызывать раздражение и снижать качество жизни.
Имплантация обеспечивает сохранение кости и функциональности, лучшую эстетику и долговечность. Альтернативы дешевле и быстрее, но имеют ограничения по комфорту для пациента и требуют более частой замены.
Обязателен КЛКТ: 3D-снимок показывает объем и плотность кости, положение анатомических структур, помогает спланировать, как вставляют зубной имплант и какого размера должен быть имплантат.
До установки импланта необходимо устранить кариес, пародонтальные очаги и провести профессиональную гигиену. Это снижает риск осложнений и повышает шанс приживаемости.
Цифровое моделирование и пробные восковые макеты позволяют пациенту увидеть ожидаемый результат и согласовать форму и цвет коронок до начала работ.
Сбор анамнеза, обследование, создание плана лечения, согласование стоимости и сроков. В этот период обсуждают вопросы анестезии, временного протезирования и гарантии.
Процедура проводится под местной анестезией. В зависимости от метода врач устанавливает титановый винт в заранее спланированную позицию. В ряде случаев используется хирургический шаблон для точности.
После приживления имплантата (остеоинтеграции) изготавливается абатмент и постоянная коронка. Материалы и техника подбираются индивидуально с учетом эстетики и жевательной нагрузки.
Небольшой отек, болезненность и небольшая чувствительность тканей в первые дни - обычная реакция. Пациенту дают рекомендации по питанию, гигиене и приему обезболивающих при необходимости.
Сильная боль, выраженный отек, кровотечение, повышение температуры, подвижность конструкции или гнойные выделения - признаки осложнений, требующие срочной консультации.
Регулярная чистка зубов мягкой щеткой, использование межзубных ёршиков и ирригатора, отказ от твердой пищи в первые дни. Профессиональная чистка и контроль у стоматолога поддерживают здоровье десны и долгий срок службы вашего нового зуба.
Контрольные осмотры через 1, 3, 6 месяцев (по назначению доктора) и затем раз в год позволяют оценивать состояние импланта, десны и коронки, своевременно проводить профилактику.
Мы предлагаем комплексный подход: точная диагностика по КЛКТ, опытные имплантологи, цифровое моделирование улыбки и собственная лаборатория для быстрого и качественного протезирования. Мы поможем вам понять, как происходит установка, какие материалы использовать и как проходит каждый этап - от подготовки до гарантийного обслуживания.
Запишитесь на консультацию, и мы составим персональный план восстановления вашей улыбки.
Если вы живёте в Минске, начните с совместной консультации стоматолога‑хирурга и стоматолога‑ортопеда: за один визит вы получите подробный план лечения от двух специалистов с перечнем работ, сроками и прозрачной сметой, чтобы принять обоснованное решение.
Если вы из другого города или страны, пришлите нам 3D‑снимок (КЛКТ) - мы подготовим дистанционный план лечения с теми же подробными этапами, сроками и расчётом стоимости, чтобы вы могли спланировать визит заранее.
Врач произведет осмотр состояния полости рта и обследует его с помощью 3D-снимка (КЛКТ)
Определит продолжительность и предложит несколько вариантов лечения, по комфортной для вас стоимости (исходя из прайс-листа центра)
Составит фотопротокол и пояснение ситуации по каждому зубу
Ответит на вопросы, связанные со здоровьем ваших зубов
Ознакомившись с размещенными на сайте Информацией до получения согласия и текстом Согласия, Я ДАЮ СОГЛАСИЕ НА ОБРАБОТКУ МОИХ ПЕРСОНАЛЬНЫХ ДАННЫХ в соответствии с указанными в них целями и перечнем персональных данных
Мы свяжемся с вами, чтобы подобрать удобную дату и время для записи на консультацию и диагностику
Имплантация
Имплантация зубов под ключ
Протезирование
Протезирование зубов